5.3 日曜日
休診日
ご予約・お問い合わせ
083-923-2344| 診療受付の時間 | 月 | 火 | 水 | 木 | 金 | 土 | 日 |
|---|---|---|---|---|---|---|---|
| 8:30 - 11:30 |
診察検査 | 診察検査 | 診察 | 診察検査 | 診察検査 | 診察検査 | / |
| 検査 | 検査 | / | 検査 | 検査 | 検査 | / | |
| 15:00 - 17:30 |
診察 | 診察 | / | 診察 | 診察 | / | / |
~胃カメラから全身を診る~
-
院長コラム
前回のコラムでは、「体質」を見極めるために、具体的にどんな診察や検査をしているのか?というお話をしましたね。
実はそのお話に関連して、うれしいご報告があります!
今年4月に東京で開催された「第111回 日本消化器病学会総会」で、私と一緒に研究を行った才木先生(今は九州大学病院でご活躍中!)が発表した論文が、なんと「特別賞」を受賞し、表彰されました!

※ちなみに今回のツーショット写真で私たちが持っているのはその表彰状です。ちいかわさんはいませんので、ご安心ください(笑)
では、この研究でどんなことがわかったのか、できるだけわかりやすくご紹介しますね。
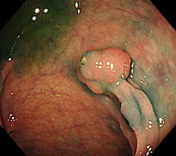
ある患者さんが、健康診断で胃カメラ(上部内視鏡)を受けたところ、食道に白っぽいポツポツとした盛り上がりが見つかりました。これは「グリコーゲンアカントーシス」と呼ばれるもので、基本的には良性の変化です。でも、もしこの変化が目立ってたくさん見られる場合、実は「大腸がん」や「甲状腺がん」、「乳がん」などになりやすい体質が隠れていることがあるんです。

そこで私たちは、そのことを患者さんにしっかり説明し、苦痛をできるだけ少なくするために鎮静剤を使いながら、大腸カメラを定期的に受けていただくことにしました。すると、なんと!とても早い段階(ステージ0)の大腸がんを見つけることができ、無事に早期治療まで進めることができました。

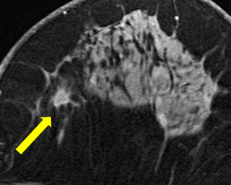
実は、私が大学院生のころに発表した研究(Harada Akira, et al. J Gastroenterol Hepatol. 2018)でも、食道に同じような変化があった方に乳がんのリスクを丁寧に説明し、検査を続けていただいたことで、初期の乳がん(ステージ1)を早期に発見して、完治したというケースもあります。

このように、胃カメラは胃や食道の異常を調べるだけでなく、「全身の病気のヒント」を見つける手がかりにもなります。
内視鏡と総合内科の両方を専門としているからこそ、「今」だけでなく「その先」を見すえた医療を、これからも大切にしていきたいと思っています。
医療法人英知会「原田内科胃腸科医院」
〒753-0021 山口県山口市桜畠2丁目6-8
TEL. 083-923-2344