医師・看護師・薬剤師等から指示された方法である事を確認の上、ご覧ください。
5.21 木曜日
診療日
ご予約・お問い合わせ
083-923-2344| 診療受付の時間 | 月 | 火 | 水 | 木 | 金 | 土 | 日 |
|---|---|---|---|---|---|---|---|
| 8:30 - 11:30 |
診察検査 | 診察検査 | 診察 | 診察検査 | 診察検査 | 診察検査 | / |
| 検査 | 検査 | / | 検査 | 検査 | 検査 | / | |
| 15:00 - 17:30 |
診察 | 診察 | / | 診察 | 診察 | / | / |
大腸内視鏡検査(大腸カメラ) Gastrointestinal Endoscopy
大腸内視鏡検査について大腸カメラ
大腸内視鏡検査(大腸カメラ)は、大腸(結腸と直腸)の内部を観察する事が可能です。
内視鏡という柔軟な管状の検査器具を利用し、肛門から挿入して大腸の内部を直接視覚的に確認します。内部の映像をリアルタイムでモニターで確認することで、必要に応じて生検(組織の一部を採取して病理検査を行うこと)やポリープの摘出などの治療的な処置を行います。
大腸内視鏡検査は、大腸の異常や病変の早期に発見、特定する事に役立ち、大腸ポリープや腫瘍の検出、炎症や潰瘍の有無の確認、出血の原因の特定をはじめ、スクリーニングや予防目的として、大腸内視鏡検査は大腸がんの早期発見を目指します。

原因がわかります
腹痛や血便の原因は様々です。内視鏡検査にて症状の原因を確定することが可能です。

できます
症状のない微小な大腸ポリープやがんを発見することができます。

診断の確定ができます
粘膜の表面だけを可視化する波長に切り替えて、病変の拡大観察を行うことで良悪性を判断できます。病理検査を行い、診断を確定できます。

大腸ポリープを切除
大腸ポリープがある場合、検査と同時にポリープの切除が可能です。

病気も診断できます
潰瘍性大腸炎、クローン病といった炎症性腸疾患、腸管感染症、憩室関連疾患、リンパ増殖性疾患なども診断可能です。
当院の内視鏡専門医による 大腸内視鏡検査の特長
安心安全に検査を受けられる
体制を整えています。
クリニックの検査体制Inspection System

内視鏡スコープとシステムについて
オリンパス社の高精細な観察が可能な内視鏡システムを導入しています。
腹部手術歴など腸の癒着が予想される方には「EVIS LUCERA ELITE 大腸ビデオスコープ PCF-H290」という細径内視鏡を使用し、疼痛の軽減につとめています。
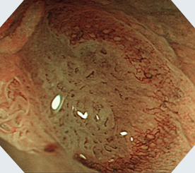
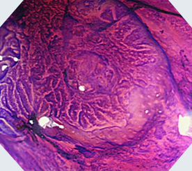
NBI
通常光
NBI+拡大観察
クリスタルバイオレット+拡大観察ハイビジョン対応の高画質で、拡大観察できる光学ズーム機能を搭載。NBIとの併用により、腫瘍などの詳細な観察・診断が可能です。
従来の視野角140度から170度とワイドアングルになったスコープを導入しています。確認できる範囲が広くなり、精緻な検査が可能になっています。
オリンパス独自の3つの技術「受動湾曲」「高伝達挿入部」「硬度可変」を搭載。
挿入性の向上と苦痛低減をサポートします。

検査中も検査後も、
モニターでバイタルサインを常にチェック
安全への取組として、内視鏡検査中はベッドサイドモニターでバイタルサインをチェックしています。
患者様の様子を伺いながら、バイタルサインを常にチェックし、鎮静剤の投与量や投与タイミングを調整・コントールしていますので、安心して検査をお受けいただけます。
検査後は目がしっかり覚めるまでリカバリー室で休んでいただくことが可能です。
常に看護師がいる環境ですので、ご不安ごとなどがあればいつでもお尋ねください。


鎮静剤・二酸化炭素送気を使用した大腸カメラ検査
検査に不安がある方には、鎮静剤を使用した大腸カメラ検査を実施しています。
ウトウトと眠っている間に終了するため、安心して検査を受けていただけます。
また、二酸化炭素送気システムを導入しています。内視鏡検査の際は詳細な観察を行うために、十分に消化管を伸展させて観察する必要があります。
二酸化炭素は空気とくらべ体内から吸収される時間が極めて短いため、検査後の腹部膨満、不快感が軽減されます。

日本消化器内視鏡学会ガイドラインを遵守した
徹底した内視鏡洗浄・消毒
当クリニックでは、一般社団法人日本内視鏡学会「消化器内視鏡の洗浄・消毒標準化にむけたガイドライン」を遵守しています。
生検器具やポリープ切除のデバイス、マウスピースなどを使い捨ての製品を採用、洗浄周辺機器まで清潔に保つこと、内視鏡自動洗浄消毒機の利用などを実施し、全ての患者様に安心して検査を受けていただけるように、徹底した衛生管理を行っています。

検査で発見した大腸ポリープの切除も可能
検査中に大腸にポリープを認めた場合、その場ですぐ切除することが可能です。
日帰りで検査と同時に切除を行うことで2度大腸内視鏡検査をする必要がなく、忙しい方にこそ受けていただきたい検査です。
切除したポリープは回収し、病理検査に提出します。担がんしている場合もありますので、病理結果のご説明も必ず受診をお願いします。

完全個室の前処置室でプライバシーに配慮
検査当日の前処置は、それぞれリラックスしていただけるように5部屋の個室をご用意しています。
プライバシーを確保した完全個室で、ストレスレスチェア、テレビ、広々としたトイレを完備。大腸内視鏡検査を行うには、大腸の状態をきれいにするために下剤を飲む必要がありますが、より落ち着いた雰囲気のリラックス出来る空間でお過ごしいただけるように配慮しています。
大腸内視鏡検査の流れFlow
WEBまたはお電話にて、事前診察日と検査日時の両方をご予約いただけます。
内視鏡検査を受ける際は、前日に服用いただく下剤のお渡しと、検査が可能な状態かを確認するための事前診察が必要となります。
現在の症状やこれまでの病歴などお話をお伺いし、内視鏡検査が可能か診察します。可能と判断すれば、前日内服の下剤をお渡しします。
- 診察時に
お持ちいただく
もの一覧 -
- 保険証
- 服用中のお薬がある方は、お薬手帳などお薬の内容が分かるもの
- 「検診や人間ドックでひっかかった」という方はその検査結果一式
事前診察の際にお渡しした説明用紙をよく読んで、夕食の時間などに留意ください。
排便状況により、下剤を変えることがあります。説明通り決まった時間に下剤を内服して下さい。
- 01
消化の良いものをお召し上がりください。
- 02
医師の指示がない場合は、お薬はいつも通りお飲みください。
- 03
21時(夜9時)までに夕食を済ませてください。
- 04
21時(夜9時)に錠剤の下剤3錠を一度にお飲みください。
- 05
前日、水分は水またはお茶を多めにとってください。
食べていいもの
食べてはいけないもの
※食物繊維の多いスループット食材(野菜類、きのこ類、海藻類、果物類の種胡麻、ナッツ類など)は、
消化されずに大腸まで達する食品成分ですので食べないようにしてください。
※便秘の方や、前回の検査で野菜や種が残っていた方は、検査の3日前から食べてはいけないものをお控えください。
病院で下剤内服の場合
朝9時から10時の間に来院していただき、専用の個室で腸管洗浄剤(腸の中身を洗い流すお薬)を飲んでもらいます。3~4時間ぐらいかけて腸の洗浄を行い、腸の中がきれいに洗浄されたら、正午以降に検査を受けていただきます。
個室にはリクライニングチェア、TV、トイレが備え付けてあり、ご自分の本、雑誌、PC(Wi-Fi完備)等をお持込みいただくこともできます。

自宅で下剤内服の場合
ご自宅で腸管洗浄剤を服用することも可能です。
- お住まいが近くの方、検査経験のある方は検査当日の腸管洗浄剤もご自宅で服用していただくことができます。
- 検査当日に病院より電話をさせていただき、前処置や検査の状況に応じて来院時間をお知らせします。
- 来院時点で便が透明になっていない場合は、追加で洗浄剤を服用していただく場合があります。
便が透明になり大腸の準備ができたら、検査の前に専用の検査着に着替えていただきます。
※診療の状況次第で予約時間通りに検査が開始できないこともあります、ご了承ください。

血圧や脈拍などを確認した後に検査を開始します。
ご希望があれば鎮静剤を使用し、半分眠ったような状態で検査を行うことも可能です。検査時間は15~25分前後となります。
大腸ポリープ切除のご希望があればその場で切除することもできます。
- ポリープ切除
可能とする条件 -
- ポリープ条件内視鏡観察で切除可能と判断されるポリープ
※サイズや形態から一括切除が困難と判断される場合、切除困難な場所にある場合などは、切除できない場合があります。
- 受診者条件 出血傾向の認められない受診者
切除後1週間以内に飲酒、スポーツ、温泉入浴、旅行、出張などの予定がない受診者
- その他
担当術者の判断で安全な切除が不可能と判断された場合は行いません。
★当院で切除できなかった患者様は、後日、高次医療機関へご紹介いたします。
鎮静剤を使用した方は、安全のために鎮静剤の効果がなくなるまでベッドでお休みいただきます。
ご不安ごとなどがあればいつでもスタッフにお尋ねください。

ご説明
検査の結果を、画像を供覧しながら内視鏡専門医よりご説明します。
※生検検査やポリープ切除を行った場合、結果は後日の説明となります。
引き続きの治療や経過観察が必要な場合は、以降の方針等についても相談しながら丁寧にご案内・ご説明していきます。

大腸ポリープ切除
(日帰り手術)Colorectal Polyp Removal

大腸ポリープは大きくなると癌化する可能性が高くなります。また、癌でなく良性の腫瘍であっても、将来、癌になる可能性はあります。
当院では、ご希望に応じて大腸ポリープを切除することも可能です。良性であってもポリープを早期発見し、切除することが大腸がんを予防する有効な方法であるとされています。
さらに、近年は見つかった大腸ポリープを全て摘除してポリープがない状態(クリーンコロン)にすることが大腸内視鏡検査を受ける最大の意義とされ、大腸がんの予防につながることが証明されています。
検査と治療が同日にできるため、後日改めて切除のスケジュールを作る必要がなく、前日の食事制限なども1度で済みます。
大腸ポリープを認めた場合、検査同日に切除します。
生理食塩水を局注後にスネアとよばれる器具を用いてポリープを切除します。
切除したポリープはすべて回収し、病理検査に提出します。深達度が深い癌のこともあるため、病理結果を確認し、追加治療の必要性を判断します。
- ポリープ条件内視鏡観察で切除可能と判断されるポリープ
※サイズや形態から一括切除が困難と判断される場合、切除困難な場所にある場合などは、切除できない場合があります。
- 受診者条件 出血傾向の認められない受診者
切除後1週間以内に飲酒、スポーツ、温泉入浴、旅行、出張などの予定がない受診者
- その他
担当術者の判断で安全な切除が不可能と判断された場合は行いません。その場合は高次医療機関へご紹介いたします。


に生理食塩水を局注

遺残がないように引っ掛ける


病変を回収する

大腸ポリープ治療後の
注意事項
食事
運動
風呂
トイレ
- 1週間は刺激の強い食べ物(香辛料が多い食べ物、脂っこい食べ物など)や飲み物(アルコール飲料、カフェインがはいった飲み物、炭酸飲料など)生ものの摂取は控えて下さい。
- 散歩などの軽い運動は翌日から可能ですが、腹圧のかかる運動(ゴルフ・テニス・ジョギングなど)は1週間控えてください。1週間は旅行や出張は控えてください。
- 3日間は長風呂を避け、シャワー程度にしてください。
- お通じに血液が混ざることがあります。少量の出血なら心配いりませんが、出血が持続する場合や出血量が多い場合は至急連絡してください。
費用・ご予約についてCost and Reservation
費用について
| 1割負担 | 2割負担 | 3割負担 | |
|---|---|---|---|
| 生検・組織なし | 2,000円 | 4,000円 | 6,000円 |
| 生検・ポリープなし | 3,000 ~ 6,000円 | 7,000 ~ 12,000円 | 11,000円 ~ 18,000円 |
| 生検・ポリープあり | 8,000 ~ 10,000円 | 16,000 ~ 20,000円 | 24,000円 ~ 30,000円 |
| ポリープ切除手術・ 組織検査あり | 約9,300円 ~ 12,800円 | 約18,600円 ~ 25,000円 | 約29,000円 ~ 39,000円 |


